Răng lồi xỉ còn có tên gọi khác là răng lòi sỉ, đây là chiếc răng nanh bị mọc trồi ra phía ngoài so với những răng khác. Có nhiều người lầm tưởng và gọi đây là răng khểnh nhưng các bạn đã sai lầm.
Vì răng khểnh chỉ mọc lệch theo một tỉ lệ nhất định nào đó, mang lại cảm giác nhẹ nhàng và tươi tắn cho khuôn hàm. Còn răng lồi xỉ lại mang đến cảm giác lộn xộn, khiến khuôn hàm mất cân đối nghiêm trọng.

Vì sao lại có tên là “Răng lồi xỉ”
Trước hết các bạn cần hiểu rõ về nguyên nhân dẫn đến răng lồi xỉ, đặc biệt là ở trẻ em để có biện pháp phòng tránh.
Thói quen mút cắn ngón tay, đẩy lưỡi, mút môi,… tưởng chừng vô hại lại là nguyên nhân khiến răng lòi sĩ. Các thói quen này tuy chỉ tác động một lực khá nhẹ nhưng trong thời gian dài sẽ khiến răng di chuyển lệch lạc (gây hô hoặc móm).
Có một trường hợp răng lồi xỉ bắt nguồn từ các bất thường trong sự phát triển của xương hàm trên hoặc dưới. Sự bất thường này có thể là do di truyền hoặc các yếu tố khách quan như tai nạn dẫn đến sự phát triển kém thẩm mỹ. Trường hợp thường gặp chính là xương hàm hẹp, nhỏ hơn kích thước và số lượng răng chuẩn bị mọc nên các răng phải chồng chéo lên nhau để xếp đủ vị trí.
Răng lồi xỉ dù không gây ra những tác hại nhưng lại có ảnh hưởng không nhỏ đến thẩm mỹ và tình trạng răng miệng. Dưới đây là một số tác động mà bạn cần biết như sau:
Răng bị lồi xỉ sẽ khiến khuôn hàm trở nên lộn xộn và gương mặt mất đi sự cân đối. Việc cố gắng che khuyết điểm này bằng cách hạn chế cười nói chỉ khiến bạn không thoải mái.
Trong một số trường hợp, răng lòi sỉ quá nghiêm trọng sẽ khiến bạn không thể khép miệng. Hàm răng khấp khểnh sẽ khiến bạn mất tự tin và ngại giao tiếp. Có quan niệm cho rằng những người có hàm răng lồi xỉ phải chịu sự cực khổ và không đáng tin.
Việc răng lồi xỉ mọc trồi lên cao sẽ tạo ra những kẽ hở, các kẽ hở này dù có diện tích bé cũng tạo điều kiện để những thức ăn thừa bám lại. Các bạn có thể mắc phải những bệnh về viêm nướu, viêm tủy, sâu răng, viêm nha chu hay tụt nướu,...

Gây ra bệnh lý về răng miệng
Khắc phục răng lồi xỉ bằng cách nào còn tùy thuộc vào tình trạng răng và điều kiện tài chính của mỗi người. Sau khi thăm khám, bác sĩ sẽ tư vấn phương án khắc phục tối ưu nhất.
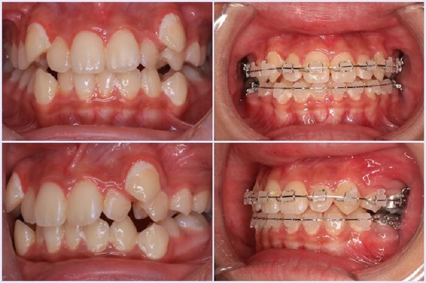
Niềng răng là phương pháp phổ biến đang được nhiều người lựa chọn, phương pháp này sẽ sử dụng những khí cụ chỉnh nha cố định để kéo và dịch chuyển răng về đúng vị trí.
Phương pháp niềng răng thường được áp dụng trong trường hợp răng bị lệch quá nhiều và trẻ đã hoàn tất quá trình thay răng vĩnh viễn. Ở độ tuổi này, phần xương hàm vẫn trong giai đoạn phát triển nên nắn chỉnh rất dễ dàng, có hiệu quả nhanh hơn so với độ tuổi trưởng thành.

Niềng răng bị lồi xỉ
Trong trường hợp răng lồi xỉ quá nặng, gây khó khăn trong việc ăn nhai và làm tăng nguy cơ mắc bệnh về răng miệng, bác sĩ sẽ chỉ định nhổ răng.

Nhổ răng
Bọc răng sứ thường áp dụng cho những khách hàng lớn tuổi, không thích hợp niềng răng chỉnh nha vì mất thời gian. Trong khi bọc răng sứ chỉ mất 2 – 4 ngày là có hàm răng đẹp.
Bác sĩ sẽ mài những chiếc răng lòi xỉ đến mức độ an toàn, sau đó lắp vào mão răng bằng sứ có hình dạng và màu sắc gần giống với răng thật bên ngoài. Nhưng việc mài răng vẫn có thể tác động nhiều đến tủy răng nếu mài quá nhiều, cho nên phương pháp bọc răng sứ chỉ thích hợp với người bị lồi xỉ nhẹ.
Qua bài viết trên, hy vọng đã giúp cho bạn hiểu được những thắc mắc có liên quan đến tình trạng răng lồi xỉ. Nếu các bạn có nhu cầu đặt lịch hẹn để tư vấn hoặc thăm khăm thì hãy liên hệ với Nha khoa MeDental ngay hôm nay nhé!