Hiện tượng chảy máu chân răng trên thực tế là tình trạng chảy máu từ phần nướu, lợi, thường xuất hiện khi ăn nhai thực phẩm cứng, chải răng, dùng chỉ nha khoa hoặc nguy hiểm hơn là chảy máu nướu ngay cả khi không có tác động gì. Những người bị chảy máu nướu thường xuyên sẽ có cả các biểu hiện bất thường khác như sưng nướu, viêm nướu, hôi miệng,…
Một số bệnh lý gây ra tình trạng chảy máu chân răng bao gồm:
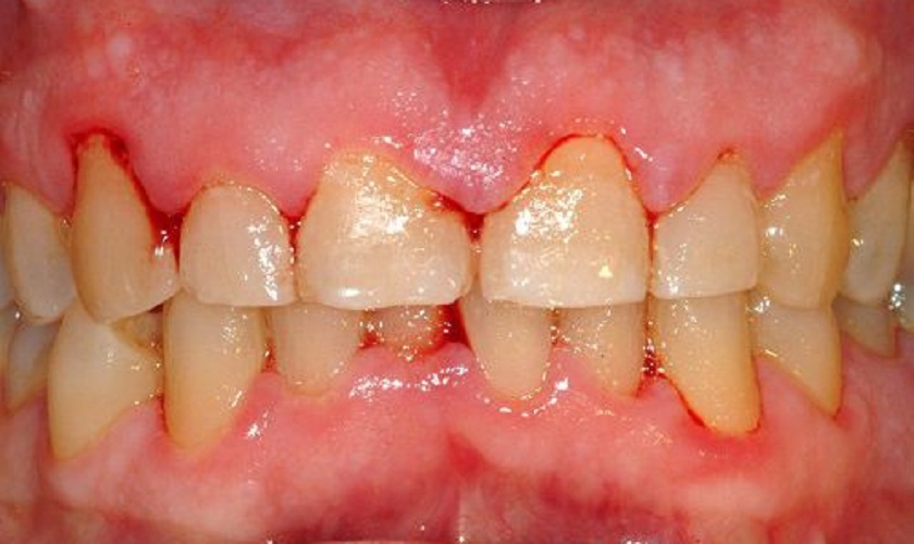
Viêm nướu là hiện tượng nướu bị viêm, sưng, thương tổn dẫn tới chảy máu. Bệnh này có thể đến thói quen vệ sinh răng sai cách, không loại bỏ hết vụn thức ăn và mảng bám tại chân răng. Bề mặt răng càng tích tụ nhiều cặn thức ăn và vôi răng sẽ gây ra viêm nướu và chảy máu nướu.

Hiện tượng chảy máu chân răng do viêm nướu
Sâu kẽ răng rất thường xảy ra bởi kẽ răng là vị trí bàn chải khó tiếp cận, làm thức ăn thừa dễ đọng lại tại lỗ sâu. Khu vực này cũng rất dễ bị viêm nướu, nhiễm trùng chân răng dẫn đến chảy máu.
Răng bị sâu khiến người mắc có xu hướng hạn chế nhai ở phía hàm có răng sâu do cảm giác đau nhức và ê buốt. Điều này càng làm cho mảng bám và vôi răng tích tụ nhiều, làm hiện tượng chảy máu chân răng ngày càng nghiêm trọng.
Răng mọc lệch gây tác động không hề nhỏ tới khớp cắn, đồng thời làm quá trình vệ sinh răng miệng khó khăn hơn. Nếu răng miệng không được vệ sinh tốt, thức ăn tồn đọng trong kẽ răng sẽ khiến nướu bị viêm và chảy máu.
Chấn thương nướu gặp phải khi va đập mạnh vào nướu, chà xát răng quá mạnh, sử dụng chỉ nha khoa sai cách, lông bàn chải đánh răng quá cứng, đánh răng quá mạnh,…
Đôi khi hiện tượng chảy máu nướu không đến từ các bệnh lý răng miệng mà xảy ra do những nguyên nhân khác như: Thiếu vitamin K, thay đổi nội tiết tố, nghiện thuốc lá, ảnh hưởng từ thuốc điều trị, mắc bệnh về gan, tiểu đường, ung thư,…

Nghiện thuốc lá cũng có thể dẫn đến chảy máu nướu
Khi có hiện tượng chảy máu chân răng, nhất là những trường hợp bị chảy máu thường xuyên, bạn nên đi kiểm tra sức khỏe răng miệng tại nha khoa để tìm hiểu nguyên nhân và khắc phục kịp thời.
Trong hầu hết các trường hợp, triệu chứng chảy máu nướu, chân răng đều sẽ thuyên giảm và chấm dứt sau khi áp dụng những phương pháp sau:
Cần loại bỏ hoàn toàn mảng bám, vôi răng gây viêm nướu, tụt nướu và chảy máu chân răng. Tiếp theo, tùy vào mức độ viêm nướu mà bác sĩ sẽ chỉ định thuốc điều trị phù hợp để nướu phục hồi hoàn toàn.
Nếu răng bị sâu, nhiễm trùng, bạn cần tiến hành điều trị ngya, loại bỏ các mô răng bị hư hại, trám bít lỗ sâu, tránh để thức ăn và vi khuẩn tích tụ gây viêm nướu.
Nếu hàm răng của bạn mọc lệch lạc gây ảnh hưởng tới khả năng ăn nhai, thẩm mỹ hoặc là yếu tố gây ra tình trạng viêm nướu, hiện tượng chảy máu chân răng thì bác sĩ có thể tư vấn bạn chỉnh nha để khắc phục.
Nếu nguyên nhân dẫn đến hiện tượng chảy máu nướu là do các bệnh lý toàn thân khác thì bạn cần đi khám chuyên khoa và điều trị sớm. Càng để lâu, bệnh sẽ càng tiến triển nặng, gây ra nhiều ảnh hưởng đến sức khỏe và việc chữa trị càng khó khăn.

Nên đi khám và điều trị sớm khi có dấu hiệu chảy máu nướu thường xuyên
Như vậy, các nguyên nhân chủ yếu dẫn đến hiện tượng chảy máu chân răng cũng như biện pháp khắc phục đã được đề cập tương đối cụ thể trong bài viết phía trên. Nếu bạn cũng đang gặp phải vấn đề này nhưng chưa tìm ra nguyên nhân và cách giải quyết thì hãy ghé qua Nha khoa MeDental, đội ngũ bác sĩ Răng Hàm Mặt giỏi sẽ thăm khám và tư vấn miễn phí cho bạn.